
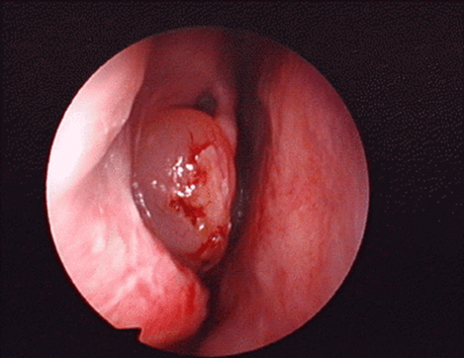
鼻息肉是耳鼻喉科常见病症之一,与部分全身性疾病也存在关联。它本质上是鼻黏膜长期受炎症刺激导致组织水肿、逐渐下垂形成的良性肿物。外观多呈灰白、淡黄或淡红色,形似荔枝肉,表面光滑,半透明,多发生于中鼻道、窦口及筛窦区域,严重时可堵塞鼻腔,影响呼吸与嗅觉。
1.西医治疗:手术为主,微创优先
对于鼻腔已大部分或完全堵塞、严重影响正常生理功能的患者,建议首先考虑手术治疗。术前需进行全面身体评估,如有心血管疾病、哮喘急性发作等情况,应待病情稳定后再安排手术。
目前主要手术方式包括:
•单纯鼻息肉切除术:适用于局限息肉。
•鼻内镜下鼻内病损微创切除术:适用于鼻腔鼻窦多发息肉。该术式借助鼻内窥镜精细操作,能充分开放窦腔、彻底摘除息肉。我院近年来开展的鼻内镜微创手术,具有精细、准确、创伤小、恢复快的优势,能显著降低术后复发率。
2.中医治疗:辨证施治,内外结合
中医主张根据患者的体质与证型进行个体化治疗,常见辨证分型及治法如下:
•肺经湿热证:常用辛夷清肺饮加减,清肺通窍。
•痰湿结滞证:可选用导痰汤加减,化痰散结。
•肺脾气虚证:多使用补中益气汤合二陈汤加减,健脾益气、祛湿通窍。
除内服中药外,也可配合局部涂敷疗法,选用明矾、麝香等药物制成外用剂型,直接作用于鼻腔,减轻水肿、改善通气。
3.中西医结合:协同治疗,减少复发
临床实践中,中西医结合治疗可发挥各自优势:

•手术快速解除梗阻,中医术前术后调理可改善体质、减轻炎症反应。
•中药辨证施治配合局部用药,有助于控制息肉生长、延缓复发。
•尤其对于反复发作、伴有过敏体质或不愿手术的患者,中医治疗提供了一种重要的补充选择。
鼻息肉治疗需根据患者具体情况制定个体化方案,建议在医师指导下结合现代医学检查与中医辨证,选择最适合的治疗路径。
供稿:五官科 程晋昌
编辑:宣传科
初审:赵 勇
终审:鲍拥军
医院电话:0554-4022581
医院地址:寿县寿春镇寿六南路
交通指引:寿县内乘1路、2路、3路、102路以及寿县高铁站公交夜间专线至中医院站下。6路、109路至中医院南门站下即到。
Copyright © 2026寿县中医医院
微信订阅号
微信服务号
微信小程序